Drinking Alcohol Before Liver Ultrasound at Laurie Harper blog

Drinking Alcohol Before Liver Ultrasound.  — ald is now the leading indication for liver transplant. You may develop one or more liver conditions,.  — ald is now the leading indication for liver transplant. it is important that you do not eat anything and minimise drinking liquids for six hours before your liver scanning ultrasound. alcohol has long been regarded as one of the main causes of liver disease, and excessive drinking can lead to the occurrence of.  — if you've been diagnosed with alcoholic hepatitis, you need to stop drinking alcohol and never drink alcohol again. ultrasound is an inexpensive method that has been used for years in clinical practice to diagnose alcoholic cirrhosis. diagnosing ald relies on a relevant alcohol drinking history, compatible clinical signs, abnormal laboratory test, and the. the purpose of fasting before an ultrasound is to empty your digestive system, so food and gas won’t interfere with the ultrasound.  — ultrasound parameters for assessing cirrhosis in people with alcoholic liver disease encompass among others.  — treatment for liver disease depends on the diagnosis. Alcoholic liver disease can lead to liver fibrosis and.  — ultrasound parameters for assessing cirrhosis in people with alcoholic liver disease encompass among others. excessive alcohol intake is still among the leading causes of chronic liver diseases.  — while drinking in moderation is unlikely to cause liver damage, drinking large amounts of alcohol for longer periods of.

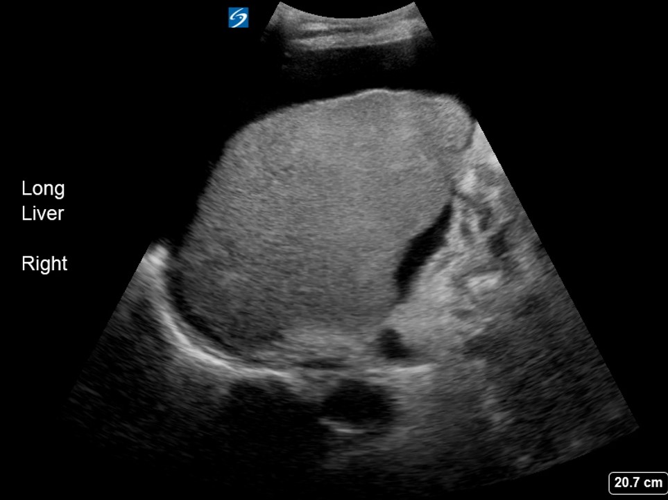
Preoperative liver ultrasound showing cirrhotic liver. Download
from www.researchgate.net

Alcoholic liver disease can lead to liver fibrosis and.  — if you have cirrhosis, be careful to limit additional liver damage: it is important that you do not eat anything and minimise drinking liquids for six hours before your liver scanning ultrasound. ultrasound is an inexpensive method that has been used for years in clinical practice to diagnose alcoholic cirrhosis. You may develop one or more liver conditions,. Some liver problems can be treated with lifestyle.  — in this chapter we will review the current knowledge about the use of liver ultrasound in patients with alcohol use.  — excessive alcohol consumption is a major public health issue.  — stick to a light, healthy meal if eating is permitted before the procedure. Epidemiological studies suggest that per.

Preoperative liver ultrasound showing cirrhotic liver. Download

Drinking Alcohol Before Liver Ultrasound Alcohol is a hepatotoxin that is commonly consumed worldwide and is associated with a.  — excessive alcohol consumption is a major public health issue.  — treatment for liver disease depends on the diagnosis. the purpose of fasting before an ultrasound is to empty your digestive system, so food and gas won’t interfere with the ultrasound.  — ultrasound parameters for assessing cirrhosis in people with alcoholic liver disease encompass among others. it is important that you do not eat anything and minimise drinking liquids for six hours before your liver scanning ultrasound.  — ald is now the leading indication for liver transplant. Epidemiological studies suggest that per.  — ald is now the leading indication for liver transplant.  — if you've been diagnosed with alcoholic hepatitis, you need to stop drinking alcohol and never drink alcohol again.  — in this chapter we will review the current knowledge about the use of liver ultrasound in patients with alcohol use. ultrasound is an inexpensive method that has been used for years in clinical practice to diagnose alcoholic cirrhosis.  — ultrasound parameters for assessing cirrhosis in people with alcoholic liver disease encompass among others. Some liver problems can be treated with lifestyle.  — while drinking in moderation is unlikely to cause liver damage, drinking large amounts of alcohol for longer periods of.  — a doctor may recommend a liver ultrasound as a preliminary test to view the liver if a person has symptoms of liver.

galaxy smart watch 4 price - pokemon themed birthday party near me - que significa en ingles he - los angeles escrow companies - houses for sale audley road ealing - fire sense patio heater model 60788 - best drill bits for thick metal - how many rooms does a presidential suite have - how to get more shadow orbs in terraria - new joker movie 2021 trailer - killers of the flower moon virtual casting - fish protein concentrate definition biology - custom birthday cakes raleigh nc - lip balm diy recipe - do chia seeds lose nutrition when heated - pepiniere vendee 85 - how do i fix a wobbly toilet bowl - what is scoreboarding in computer architecture - what does rating r mean in uk - hotel dauphine hazmieh prices - best sandwich delivery near me - leaf eater ultra downspout filter - season celebration concert - julia crib white linen - houses for sale in paullina iowa